Black Triangles After Braces: Why They Appear & How to Fix Them

Adult Dentistry
Orthodontics
Cosmetic Dentistry
Black Triangles After Braces: Why They Appear & How to Fix Them
You've finally completed your orthodontic journey — your teeth are straight, your bite is aligned. But then you notice something unexpected: dark, triangular gaps between your teeth near the gum line. These frustrating spaces are known as "black triangles" (clinically called Open Gingival Embrasures), and they are one of the most common cosmetic concerns following orthodontic treatment.
If you're dealing with this issue, there's good news — modern dentistry offers several effective solutions. This article explains why black triangles appear after braces, how different treatment options compare, and what you can do to prevent them.
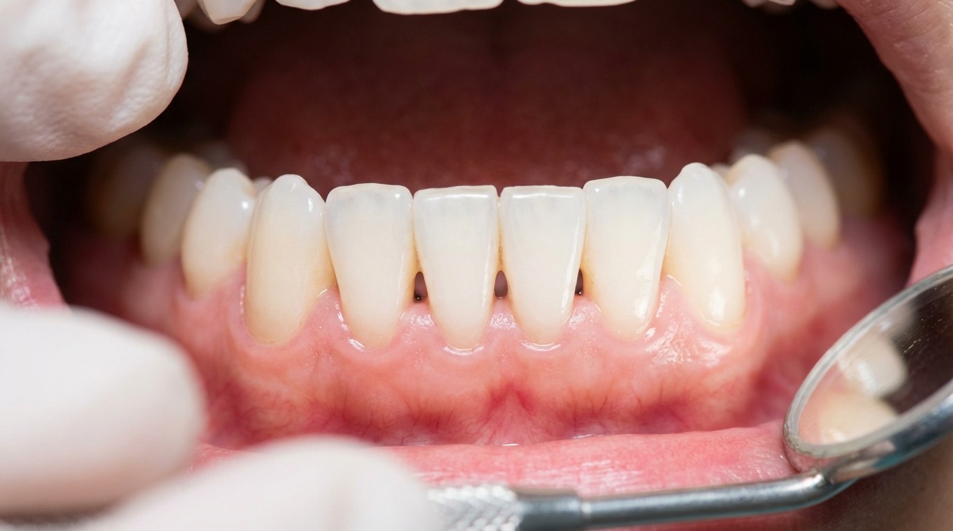
What Are Black Triangles?
Black triangles are dark, triangular spaces between teeth at the gum line. Normally, this area is filled by a small wedge of gum tissue called the gingival papilla. When this tissue shrinks or is lost, the underlying dark space becomes visible, creating a noticeable triangular gap.
Beyond aesthetics, black triangles can cause several practical problems:
Food trapping: Gaps easily catch food debris, increasing the risk of decay and gum disease
Speech effects: Severe black triangles between front teeth may cause air to escape during speech
Cleaning challenges: Irregular gap shapes make daily oral hygiene more difficult
Psychological impact: They can affect smile confidence, especially in social settings
💡 Did you know? Studies show that approximately 38–67% of adults develop some degree of black triangles after orthodontic treatment. It's one of the most common yet frequently overlooked post-orthodontic concerns.

Why Do Black Triangles Appear After Braces?
Many people assume braces "cause" black triangles, but the reality is more nuanced:
1. Realigned Teeth Reveal Pre-existing Gum Loss
Before treatment, crowded teeth overlap and compress the gum tissue between them, making it appear full and healthy. Once teeth are straightened, the previously hidden gum deficiency is exposed. In other words, the black triangle may have existed before treatment — it was simply concealed by the crowding.
2. Tooth Shape Matters
Tooth anatomy directly influences black triangle risk:
Triangular-shaped teeth: If your incisors are wider at the biting edge and narrow toward the root, the contact point sits higher, leaving more space for the papilla to fill — and more room for a black triangle if it can't
Rectangular-shaped teeth: A broader contact area means less space for black triangles to form
3. Insufficient Bone Height
The height of the gingival papilla depends on the supporting bone beneath it. Research shows that when the distance from the bone crest to the contact point exceeds 5mm, the papilla is unlikely to fully fill the space.
4. Periodontal Effects During Orthodontics
Orthodontic forces can cause minor changes in bone levels
Braces and aligners increase cleaning difficulty, potentially worsening gum inflammation
Adult patients have lower tissue regeneration capacity than adolescents
5. Age Factor
Gum tissue naturally recedes with age. Adult orthodontic patients — especially those over 30 — are significantly more likely to develop black triangles compared to teenagers.

Will Black Triangles Go Away on Their Own?
This is one of the most frequently asked questions. Unfortunately, in most cases, black triangles do not resolve spontaneously. Here's why:
Adult gum papilla has limited regeneration capacity
Once alveolar bone is lost, it rarely recovers naturally
Tooth shape remains unchanged
However, if the black triangle resulted from temporary gum inflammation, some improvement may occur once the inflammation is controlled. For structural black triangles revealed after orthodontics, professional treatment is usually necessary.
⚠️ Important: Don't dismiss black triangles as "just cosmetic." Food trapping and cleaning difficulties can lead to worsening decay and periodontal problems. Consulting your dentist early allows you to explore the most suitable treatment option.
Treatment Options Compared
Several methods can effectively address black triangles, each with distinct advantages and trade-offs:
Option | How It Works | Advantages | Disadvantages |
|---|---|---|---|
Bioclear Composite Restoration | Custom clear matrices guide precise injection of composite resin to rebuild the natural tooth contour | Minimally invasive; same-day results; natural appearance; repairable | Requires periodic maintenance; may stain over time |
Porcelain Veneers | Thin porcelain shells bonded to the tooth surface to alter tooth shape and close the gap | Excellent aesthetics; durable; stain-resistant | Requires tooth preparation; higher cost; irreversible |
Hyaluronic Acid Gum Injection | HA filler injected into the papilla area to increase gum volume | Non-invasive; immediate effect | Temporary (6–12 months); requires repeat injections |
Orthodontic Refinement (IPR + Space Closure) | Interproximal reduction reshapes the contact point, followed by orthodontic closure | Addresses the root cause by repositioning the contact point | Requires additional orthodontic time; not suitable for all cases |
Bioclear: A Closer Look
Among the available options, Bioclear has gained significant popularity for black triangle treatment due to its minimally invasive nature, efficiency, and natural results.
What Is Bioclear?
Bioclear is an injection-moulded composite restoration system developed by Dr. David Clark in the United States. It uses specially designed clear matrices that enable the dentist to precisely inject and shape composite resin, recreating the natural curves and contours between teeth.
The Procedure
Assessment & preparation — The dentist evaluates the size, shape, and surrounding tissue of the black triangle
Tooth cleaning — Thorough removal of plaque and surface stains
Matrix placement — A clear Bioclear matrix is fitted around the target teeth
Composite injection — Shade-matched composite resin is layered and cured
Shaping & polishing — The matrix is removed, the restoration is refined and polished to a smooth, natural finish
Why Bioclear Stands Out
Minimally invasive: Little to no tooth structure needs to be removed
Same-day results: Completed in a single appointment
Natural aesthetics: Resin colour and translucency are precisely matched to your natural teeth
Repairable: Can be easily touched up or refreshed in the future
Cost-effective: Significantly more affordable than porcelain veneers
Longevity & Maintenance
Bioclear restorations typically last 5–10 years, depending on oral hygiene and dietary habits
Minor staining may occur over time but can be restored with professional polishing
Avoiding biting hard objects helps extend the lifespan

How to Prevent Black Triangles
While not all black triangles can be prevented, the following steps can significantly reduce the risk:
Before Orthodontics
Choose an experienced orthodontist: A skilled practitioner will factor black triangle risk into the treatment plan
Periodontal assessment: Ensure gum health is optimal before starting orthodontics
Understand the risks: If your teeth are triangular in shape or you're an older adult, discuss black triangle likelihood with your orthodontist
During Orthodontics
Rigorous oral hygiene: Brush after every meal and use interdental brushes and floss
Regular periodontal checks: Don't rely solely on orthodontic appointments — schedule separate periodontal evaluations
Address gum issues promptly: Report any gum redness, swelling, or bleeding to your dentist immediately
After Orthodontics
Wear your retainer: Stabilise the orthodontic result and prevent teeth from shifting
Regular check-ups: Professional cleaning and examination every 6 months
Maintain interdental cleaning: Continue using interdental brushes to keep the spaces between teeth clean

Frequently Asked Questions
Do black triangles always appear after braces?
No. Whether black triangles develop depends on multiple factors including your original tooth alignment, tooth shape, periodontal health, and age. Teenagers generally have a lower incidence than adults. Studies suggest 38–67% of adult orthodontic patients develop some degree of black triangles, but many are mild and may not require treatment.
Is Bioclear treatment painful?
Virtually painless. Bioclear is a minimally invasive procedure — in most cases, anaesthesia isn't even required. The experience is similar to having a filling, and each tooth takes approximately 30–60 minutes. There is little to no discomfort afterwards, and you can eat normally right away.
How is Bioclear different from a regular filling?
Bioclear uses a purpose-designed clear matrix system that creates smoother, more natural tooth contours than traditional direct composite fillings. Conventional fillings can be difficult to shape naturally in the spaces between teeth, whereas Bioclear's injection technique allows for more precise filling and contouring.
Can Invisalign also cause black triangles?
Yes. Black triangles are not exclusive to any specific type of orthodontic treatment — whether you had traditional braces or clear aligners, any tooth movement that reveals previously hidden gum deficiencies can result in black triangles. An experienced orthodontist can incorporate strategies such as IPR (interproximal reduction) into the treatment plan to help reduce the risk.
Will black triangles get bigger over time?
Black triangles themselves don't typically enlarge without an underlying cause. However, if periodontal disease is present and untreated, ongoing gum recession can cause them to gradually widen. Maintaining good oral hygiene and regular periodontal check-ups is essential.
Do I need special care after treatment?
Regardless of which treatment you choose, good oral hygiene is the key to maintaining results. Use interdental brushes daily to clean the treated area, avoid biting hard objects (such as nuts and ice), and attend professional check-ups and cleaning every 6 months. If Bioclear restorations develop minor staining, your dentist can polish them during a routine visit.
Black triangles after braces can be disheartening, but they are far from irreversible. Consulting a qualified dentist early and exploring the right treatment option can help you achieve the confident smile you worked so hard for.
If you're concerned about black triangles or would like to learn more about Bioclear and other treatment options, please contact Dr. Teri Yung Dental Central to book a consultation.
Book an Appointment
Schedule your visit now for personalized care in a comfortable environment. Your journey to a brighter, healthier smile begins here.





